動物たちの豊かで楽しい生活のために
整形外科疾患は骨折や関節疾患など様々です。その原因も交通事故や落下などでケガをしたり、先天的な疾患で関節を痛めてしまうなど様々です。残念ながら骨折部位や疾患をもった関節を、元通りの状態にすることはできません。
整形外科では身体の機能の回復治療を行い「早期に日常生活へ復帰すること」を目標にしています。
近年動物の寿命は飛躍的に延び、永く幸せな時間を一緒に過ごすことができるようになりました。豊かな暮らしを楽しむために、骨関節炎のような加齢にともなう病気を未然に防ぎ、生涯に寄り添いサポートしていきたい我々の望みです。
より良い治療を行うために、安心できる安全な治療を
整形外科の治療には様々な器具が必要です。日進月歩の技術向上により、色々な治療器具が開発されてきています。人間の医療を動物用に取り入れられた技術もあれば、動物ならではの疾患に対応した治療技術もあります。前十字靭帯損傷は、人と動物ともに起こる整形外科疾患ですが、人と動物とでは原因が違うため治療法も異なります。当院では長年の治療実績により、技術の向上はもとより様々な治療機器を備えることに努力しています。
整形外科では体内にインプラントを埋め込む手術治療を行うことが多いため、衛生環境に注意することが重要です。当院では陽圧換気の手術室を導入しており、より安全な治療を心掛けています。
代表的な症例「骨折」
- 上腕骨骨折
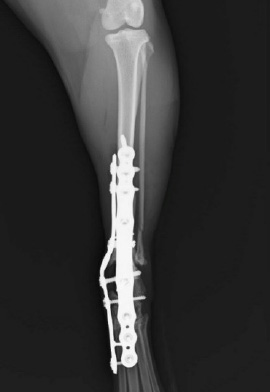
- 橈骨尺骨骨折
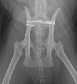
- 骨盤骨折
- 大腿骨骨折
- 脛骨骨折
「骨折」診察の流れ

予約制ではありません
病状によっては麻酔下での特殊検査が必要になる場合があります。
絶食絶水が必要ですので来院前にお問い合わせください。

臨床症状、歩様・起立位視診
いつから症状がみられたのか、初めての症状なのか悪化しているかなどを詳しく問診をおこない、鑑別診断をすすめます。

身体検査(神経学的検査、整形外科学的検査)、血液検査、X線検査、MRI検査、CT検査、脳脊髄液検査

外科治療/内科治療/支持療法
骨折について
骨折の原因や病態を診断し、分類を行います。治療法の選択に重要です。
1. 原因
- 骨に対する直接的な外力による衝撃
交通事故など
- 骨に対する間接的な外力による衝撃
靭帯筋の付着部にかかる衝撃
- 病的骨折
腫瘍や全身性疾患が原因で骨が脆くなった骨折
- 反復力による骨折
アジリティーを行っている犬などの疲労骨折
3. 開放性骨折
骨折部位が体外へ出ているため、骨折部位が汚染あるいは感染しているため、癒合遅延や合併症が予想される。
4. 治療
- 骨折では多くの場合で外科的治療が適用です。
- 骨折の原因や部位によって手術方法が異なります。
- 当院では内固定、創外固定による外科的治療が可能です。
- ギプスなど装具により固定を行う場合もあります。
それぞれの治療法には利点と欠点があります
| 治療方法 |
メリット |
デメリット |
| 外科的治療 |
早期に歩ける
退院後は1か月間隔で通院 |
費用が高い
手術侵襲がある |
| ギプス固定 |
費用が安い
手術侵襲が無い |
治療に長期間かかる
最低でも毎週一回通院 |
治療には様々なリスクがあります。予想される治癒に必要な期間や骨折の形態に応じて必要な固定方法が異なりますので、手術して治療が終わりになるわけではありません。飼い主様のご協力なくして治療は行えませんのでリスク因子を慎重に評価してご相談させていただきます。
5. 内固定
金属製のプレート、ピン、ワイヤーなどを用いて骨折部位を固定します。
退院後はご自宅で安静にしていただき、抜糸以外に病院には通う必要がありません。
6. 創外固定
体外から骨にピンを刺入して、体外にて固定を行う方法です。
ピン刺入部位で感染をおこさないように衛生管理が必要です。
消毒洗浄の通院が必要なため、治療には飼い主様の協力が必要です。
創外固定装置 |
 |
 |
代表的な症例「関節疾患」
- 肩関節
- 肘関節形成不全
- 股関節
- 膝関節(膝蓋骨脱臼、前十字靭帯断裂)
「股関節」診察の流れ

症状の経過、歩様などを詳しく問診していきます

身体検査、歩様検査、整形外科学的検査、血液検査、X線検査

内科的治療/外科的治療

外科的治療後のリハビリテーション
疼痛の緩和、膝関節可動域の維持を目的とします
股関節脱臼
治療法
治療方法の選択肢は内科的治療と外科的治療がありますが、股関節が脱臼してしまうと、関節の構造がもとには戻りません。関節が亜脱臼のような不安定な状態だと、骨関節炎に進行したり、再脱臼を起こしてしまいます。当院では股関節脱臼の多くの場合において、外科的治療を選択しています。
- 内科的治療の場合・・・
- TVレントゲン透視下で脱臼を整復し、包帯固定(エーマースリング)を行う。
- 外科的治療の場合・・・
- 当院では大腿骨頭骨頚切除(FHO)を第一選択としております。
大腿骨頭切除 FHO Femoral Head and Neck Osteotomy
- 骨に対する直接的な外力による衝撃
交通事故など
- 骨に対する間接的な外力による衝撃
靭帯筋の付着部にかかる衝撃
- 病的骨折
腫瘍や全身性疾患が原因で骨が脆くなった骨折
- 反復力による骨折
アジリティーを行っている犬などの疲労骨折
レッグカルベペルテス病 |
 |
 |
「膝蓋骨脱臼」診察の流れ

症状の経過、歩様などを詳しく問診していきます

身体検査、歩様検査、整形外科学的検査、血液検査、X線検査

内科的治療/外科的治

外科的治療後のリハビリテーション
疼痛の緩和、膝関節可動域の維持を目的とします
「関節疾患」膝蓋骨脱臼
膝蓋骨脱臼のグレード分類(Singleton分類)
| 評価 |
脱臼の程度・状態 |
治療法 |
| グレード1 |
膝蓋骨は用手にて脱臼するが、元に戻る |
内科的治療・支持療法 |
| グレード2 |
用手にて脱臼し、膝を屈伸させなければ元に戻らない |
内科的治療・外科的治療 |
| グレード3 |
膝蓋骨は常に脱臼した状態。用手にて整復が可能 |
内科的治療・外科的治療 |
| グレード4 |
膝蓋骨が常に脱臼した状態で、用手にて整復が不可能 |
外科的治療/外科不適応 |
治療法は議論の分かれるところですが、どのグレードでも疼痛跛行の症状がある場合は外科的治療が推奨されます。また症状が軽度であっても将来的な骨関節炎や前十字靭帯損傷の併発を予防する目的では外科的治療が推奨されます。
1. 外科治療
膝蓋骨脱臼の病態は未だ不明であるため、治療方法についても議論が分かれています。現在、行われている治療方法は脱臼を整復して「伸展機構を整える」ことです。
- 伸展機構とは・・・
-
大腿四頭筋-膝蓋骨-脛骨粗面が一直線上に配置されていることで膝関節は正常に機能します。
2. 手術方法
手術方法は以下の術式の組み合わせで行います。
- ①滑車溝増溝
- ②関節支帯の解放・縫縮
- ③脛骨粗面転位
- ④脛骨内旋・外旋制動
手術後は7日間入院管理を行います。入院期間中にはアイシングやリハビリ療法を行います。
退院後は自宅にて3週間は安静にして運動制限を行っていただきます。
前十字靭帯断裂
前十字靭帯断裂は犬の膝関節疾患の中でも代表的な疾患のひとつで、小型犬から大型犬まであらゆる大きさの犬種で報告されています。
前十字靭帯(Cranial Cruciate Ligament:CrCL)は膝関節内で大腿骨と脛骨を結ぶ靭帯で、脛骨が前に飛び出ないよう制限する役割としてはたらきます。このCrCLが完全または部分的に断裂すると、膝関節は安定性を失い、様々な程度の跛行を呈するようになります。
症状
- 急性断裂
- 患肢へ全く負重できないほどの重度な跛行がみられます。膝関節の過度の伸展や膝関節を屈曲した状態で後肢を外旋させると、正常なCrCLの強度を上回る外力がかかり断裂に至ります。ボール遊びなど走行中に急にターンをするような運動時に起こりやすいとされています。運動の活発な若齢な犬に多く見られます。
- 慢性断裂
- 跛行が持続的に繰り返されるようになります。加齢や免疫介在性疾患などによりCrCLの部分・完全断裂に至ります。中~高齢の肥満動物に多く見られます。
「前十字靭帯断裂」診察の流れ

予約制ではありません
症状の経過、歩様などを詳しく問診していきます。

身体検査、歩様検査、整形外科学的検査、血液検査、X線検査

内科的治療/外科的治療

外科的治療後のリハビリテーション
疼痛の緩和、膝関節可動域の維持を目的とします。
診断方法
-
1
飼い主様から経過をお聞きし、歩様状態の観察、身体検査を行います。
-
2
次に整形外科学的検査を行います。
触診にて脛骨の前方引き出し徴候や脛骨圧迫試験などを行います。
- 前方引き出し徴候とは
大腿骨に対して脛骨の前方への変位を検査する方法です。
- 脛骨圧迫試験とは
足根関節を屈曲させて脛骨が前方への変位を確認する検査法です。
-
3
膝関節のレントゲン撮影を行います。
目で確認することのできない関節の内部の様子を評価します。
 |
左のレントゲン画像は脛骨の前方への変位、関節液の増加が認められています。 |
-
4
関節鏡を用いて内視鏡下で関節内を確認できる関節鏡検査が可能です。
レントゲン検査や整形外科学的検査だけでは、診断が困難な場合、関節鏡検査が非常に有用です。
これまでの前十字靭帯断裂の手術では膝関節を大きく切開していましたが、関節鏡検査では膝関節の2か所に数mmの切開を加えるのみなので低侵襲です。
また関節鏡検査では前十字靭帯断裂に伴う半月板損傷の診断率が有意に高いとの報告があります。
 |
 |
| 関節鏡は大きく拡大できるので、小切開で診断・手術が可能です。 |

治療法
現在、前十字靭帯断裂に対する手術法として様々な手術法が議論されています。
当院では脛骨高平部水平骨切り術(TPLO)を推奨しています。
関節鏡検査にて、前十字靱帯の部分断裂と診断された症例に対して、部分断裂から完全断裂へ悪化進行する前に予防的な膝関節の安定化を目的としてTPLOを行うことで、完全断裂の予防および骨関節炎を最小限にすることができ、術後の回復期間の短縮などの利点が認められています。
脛骨高平部水平化骨切り術 TPLO (Tibial Plateau Leveling Osteotomy)
脛骨近位を切断し、高平部を尾側かつ遠位に回転させて固定する手術方法です。
 |
左のレントゲン画像は手術前には脛骨近位の高平部が尾側かつ遠位に傾斜しています。
術前計画にて使用するインプラントのサイズや回転角度を計測しています。 |
 |
右のレントゲン画像は手術後の画像です。
脛骨近位高平部が回転し水平化しています。これにより膝関節が安定化し、症状が改善します。 |
TPLOは脛骨近位を円形に骨切りし、プレートで固定する手術方法であるため、骨切りに使用する器具やインプラントのサイズによっては手術の適用に制限があります。
当院では様々なインプラントを使用しており、全てのサイズを導入しています。
小型犬から超大型犬まで治療が可能です。
術後は7日間の入院管理を行います。
入院期間中は早期回復と機能維持を目的にアイシングやリハビリを行います。
退院後は3週間自宅で運動制限を行い、安静にしてもらっています。
TPLO m
TPLO m法は前十字靭帯損傷と膝蓋骨内方脱臼を併発している場合の手術法です。
骨を内側に転位して固定することで、脛骨粗面転位術と同じ効果があります
E TPA
E TPAとは脛骨高平部角が35°を超えて過剰に大きい角度の事です。
TPAが過剰な状態ではTPLOの合併症発生率が高くなるため、TPLO法に加えて様々な術式が必要になります。
CCWO法とTPLO法を併用 |
 |
 |